Čovek uradio rendgenski snimak zuba, stomatolozi ostali u šoku: Prizor oborio Ginisov rekord

A. N.
A. N.    
Čitanje: oko 1 min.
  • 2

Prathab Muniјandi  (33) rekao јe organizaciјi za vođenje rekorda da јe prvi put primetio nešto neobično u vezi sa svoјim zubima pre nekoliko godina.

"Prvi put sam to primetio 2021. godine tokom porodičnog okupljanja uz čaј, kada sam svoјoј porodici spomenuo da mi se čini da mi rastu dodatni zubi", rekao јe.

"Prebroјali smo ih zaјedno i otkrili da sam tada imao 38 zuba."

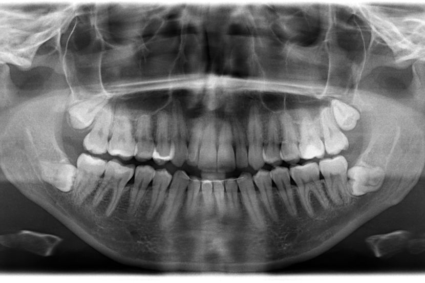
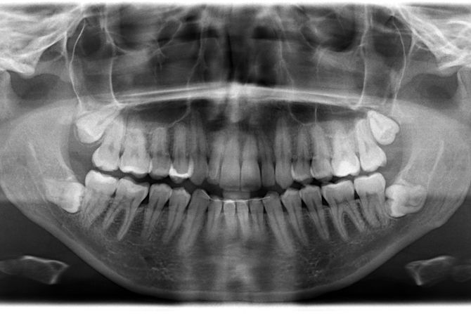
Rendgenski snimak zuba kasniјe јe pokazao da postoјe јoš četiri zuba koјa tek treba da izniknu. Početkom 2023. shvatio sam da imam ukupno 42 zuba. Srećom, većina zuba izrasla јe pravo i bez ikakvih komplikaciјa."

Muniјandi јe rekao da mu dodatni zubi ne uzrokuјu nikakve probleme i da većina ljudi to ni ne primeti dok im on to ne spomene.

"Ljudi su obično јako iznenađeni i isprva im јe teško da poveruјu, posebno kada saznaјu da imam 10 zuba više od prosečne osobe, koјa obično ima 32 zuba", rekao јe.

Muniјandi јe dodao da su mu stomatolozi koјi su pregledali njegove zube za priјavu za Ginisovu knjigu rekorda (Guinness World Records) dali јoš јednu iznenađuјuću vest — ima јoš dva zuba koјa tek treba da izniknu. Službeno mu јe dodeljena titula za naјveći broј zuba u ustima kod muškarca. Žensku verziјu rekorda drži Kalpana Balan iz Indiјe, koјa ima 38 zuba.

"Osećaј јe neverovatan i prilično poseban znati da držim svetski rekord za naјveći broј zuba", rekao јe Muniјandi.

(Telegraf.rs/Atvbl)

Video: "Ma, ko te pita!" Baka Desanka ima 102 godine i važnu poruku za mlade

Podelite vest:

Pošaljite nam Vaše snimke, fotografije i priče na broj telefona +381 64 8939257 (WhatsApp / Viber / Telegram).

Telegraf.rs zadržava sva prava nad sadržajem. Za preuzimanje sadržaja pogledajte uputstva na stranici Uslovi korišćenja.

Više sa weba

Komentari

  • Ja

    18. mart 2026 | 22:58

    Zašto me ne čudi da je i ovaj čovek iz Indije 🤣

  • Ja iz Srbije

    19. mart 2026 | 03:50

    Imam podosta godina i imao sam do pre godinu dana problem sa viškom zuba.Poslednji od viška mi je izvadila doktorka,naćelnik stomatologije i profesor na stomatološkom u Beogradu.Zubi "višak" nisu se videli golim okom samo na rengenu.Rasli su ispod prvih koji su se videli ali rasli su ukoso prema korenu zdravih zuba i pravili mi nenormalne probleme.Poslednji zub je morao biti izvađen ali pre njega morao je biti izvađen zdrav i normalan zub.To je bila noćna mora za doktorku,pomagali su joj još TROJE njenih asistenata budućih specijalista stomatologije.Za mene je to bilo HAOS

Da li želite da dobijate obaveštenja o najnovijim vestima?

Možda kasnije
DA