
Zvali su ga "presavijeni čovek": Gledao je u svoje međunožje 28 godina, a onda se desilo čudo
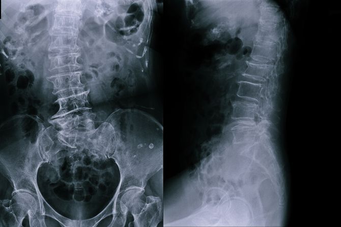
Li Hua je imao 18 godina kada je prvi put osetio bolove u kičmi. Pričao je s lekarima, obišao nekoliko bolnica, a onda je konstantovano da boluje od retkog poremećaja - ankilozirajućeg spondilitisa.
“Rođen je kao zdrava osoba, ali se od 2009. godine njegovo stanje pogoršalo. Živeo je sa licem pritisnutim uz butine”, ispričala je majka Tang Hua.
Nesrećni mladić i njegova porodica strahovali su da više neće moći da se uspravi, jede ili spava normalno. Živeli su u ruralnoj Kini i nisu mogli da pronađu odgovaraćujeg lekara da ga operiše.
Prošlo je 28 godina, a Li je i dalje video samo svoje međunožje.
“Često je bio uznemiren, pitao se kako ne može da ostvari nekakav napredak. Kako su se drugi izlečili, ali ne i on? Ponekad je padao u depresiju. Govorila sam mu da proveri na internetu, da ću ga voditi ako pronađe lekara. Uzela bih kredit u banci”, kazala je majka.
Žena se najviše brinula ko će brinuti o Liju, kada ona umre, prenosi The Sun.
Sreća im se osmehnula 2019. godine kada su pronašli dr Toa Hurijena koji je radio 800 kilometara dalje od njihovog sela u provinciji Hunan.
Otputovali su u grad Šendžen, a posle pregleda doktor ih je upozorio:
“Operacija je rizična. Li bi mogao da doživi hemoragični šok, postane paraplegičar ili čak umre. Morate biti psihički spremni za sve scenarije".
Serija od četiri visokorizične operacije dogodila se između 15. avgusta i 31. oktobra i uključivala je lomljenje kostiju i njihovo ponovno ispravljanje. Najduža je trajala 10 sati i 25 minuta.
Nakon svega, usledilo je pola godine intenzivne rehabilitacije i Li je napokon mogao da se uspravi. Čudo se dogodilo!
Na snimcima koji su kasnije zabeleženi u njegovoj kući, vidi se kako normalno sedi, radi u porodičnom lokalu i šeta sa majkom.
“Napokon mogu da pogledam ljude u oči. Da ustanem, podignem glavu, uzmem lekove, sedim uspravno, legnem u krevet...”, kazao je Li.
Razmišljajući o budućnosti, istakao je da planira da pokrene sopstveni biznis kako bi mogao da izdržava sebe i majku.
(Telegraf.rs)
Video: Ovo je farma iz snova: Minijaturni konji nemaju više od 95 centimera a najbolji drug im je pas
Telegraf.rs zadržava sva prava nad sadržajem. Za preuzimanje sadržaja pogledajte uputstva na stranici Uslovi korišćenja.